


Realizamos exames cardiovasculares - ressonância e tomografia
Aquisição Realizamos orientações sobre aquisição, suporte remoto e laudos
Oferecemos treinamentos e consultorias para equipes técnicas
Entre em contato, estamos à disposição para atender da melhor forma possível
Sobre

Serviços
Agendamento de Exames
Para faliciltar o atendimento, por favor preencha as informações abaixo. São passos simples: Insira seu nome, escolha a cidade e em seguida a clínica disponível. Clique no botão “Começar o agendamento”. Você será redirecionado para o whatsapp onde nosso pessoal entrará em contato para formalizar o agendamento do exame.
Caso tenha alguma dificuldade ou problema durante o atendimento, por favor, entre em contato clicando aqui.
Equipe
Nossa equipe é formada por médicos altamente capacitados, com formação em Tomografia e Ressonância Cardiovascular nas principais instituições médicas do país e experiência diária com os métodos. Nosso diferencial está no contato próximo ao médico assistente com total disponibilidade para troca de informações sobre os achados dos exames com relevância clínica para a condução do caso.







Clientes













Contato
Araçatuba, Assis, Bauru, Bebedouro, Birigui, Botucatu, Jaú e Presidente Prudente.
Telefone/Whatsapp
(14) 99833-0471
Toque no botão abaixo e fale conosco!

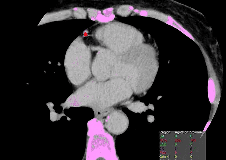
É um teste não invasivo, que não utiliza contraste iodado, realizado através de tomógrafo multi-detectores de última geração com baixíssima dose de radiação. Permite ao médico a detecção precoce de calcificação nas artérias coronárias, identificando indivíduos de maior risco para eventos cardíacos futuros (infarto ou angina), mesmo que assintomáticos.

A Angiotomografia de coronárias é um exame diagnóstico não invasivo, de baixo risco, que utiliza contraste iodado e permite a perfeita visualização de placas de gordura ou cálcio no interior das artérias do coração e definir se estas estão causando obstruções.
É indicada nos casos de dor torácica (Doença Arterial Coronariana Crônica ou Síndrome Coronariana Aguda), avaliação de stents coronários, avaliação de patência de enxertos após cirurgia de revascularização miocárdica, seguimento de pacientes com Kawasaki. Também utilizada para planejamento de procedimentos de correções de doenças valvares.

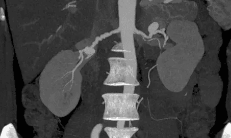
A Angiotomografia vascular permite o estudo dos diversos sistemas arteriais e venosos do corpo humano. Especialmente indicada para avaliação dos grandes artéria como a Aorta, Carótidas e Vasos intracranianos. É fundamental para o diagnóstico e acompanhamento de diversas doenças como aterosclerose, aneurismas e dissecções. Também muito utilizada para programação de correção cirúrgica e percutânea permitindo realizar medidas de precisão para escolha de próteses e fornecendo ao cirurgião informações anatômicas de relevância para a adequada realização dos procedimentos, minimizando intercorrências.

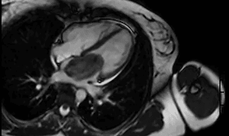
A Ressonância Magnética do Coração é uma metodologia extremamente útil na identificação de inúmeras doenças cardíacas podendo ser utilizada na investigação das doença arterial coronariana (isquemia e viabilidade miocárdicas), miocardiopatias, cardiopatias congênitas, doenças do pericárdio e massas cardíacas. É o método padrão ouro para avaliação dos volumes / função ventricular e caracterização tecidual in vivo.
A Atria oferece laudos de exames ambulatoriais ou internados. Oferecemos também revisão e segunda opinião de exames previamente adiquiridos.
Nosso diferencial está no acompanhamento e orientação remota (on line) em tempo real para a aquisição e pós-processamento das imagens, solucionando dúvidas sobre o protocolo de aquisição, otimizando e promovendo o uso racional de medicamentos de forma que o resultado final seja a melhor qualidade de exame e menor risco para o paciente.
Entre em contato conosco. Teremos a solução ideal e sustentável para sua clínica.
Oferecer exames avançados em cardiologia (tomografia e ressonância cardíacas) é um grande diferencial no portfolio de hospitais e clínicas de radiologia. Estamos preparados para auxiliar a sua instituição na escolha do equipamento mais apropriado (custo-efetividade). Se você já possui equipamento compatível com a realização dos exames, podemos ajudar na gestão dos processos através da otimização dos protocolos com o objetivo de maximizar a produtividade mantendo a primazia no atendimento do paciente.
Oferecemos ainda treinamento das equipes técnicas (enfermagem e biomédicos/ tecnólogos) na abordagem do paciente com protocolos seguros para o preparo do paciente (uso de medicamentos, característica do acesso venoso, etc) e execução do exame.
FORMULÁRIO PREENCHIDO COM SUCESSO. ENTRAREMOS EM CONTATO COM VOCÊ!
FORMULÁRIO PREENCHIDO COM SUCESSO. ENTRAREMOS EM CONTATO COM VOCÊ!
Especialista em Cardiologia pela Sociedade Brasileira de Cardiologia (SBC)
Especialista em Tomografia e Ressonância Cardiovascular pelo (InCor) – FMUSP
Membro da Sociedade de Tomografia Cardiovascular (SCCT)
Membro da Sociedade de Ressonância Cardiovascular (SCCM)
Fundador e responsável técnico da Atria Imagem.